Research article

Stingless bee honey alleviates cognitive deficits and hippocampal neurodegeneration in an Alzheimer's model: Behavioural, neurochemical, and histological analyses

  • Published: 16 January 2026
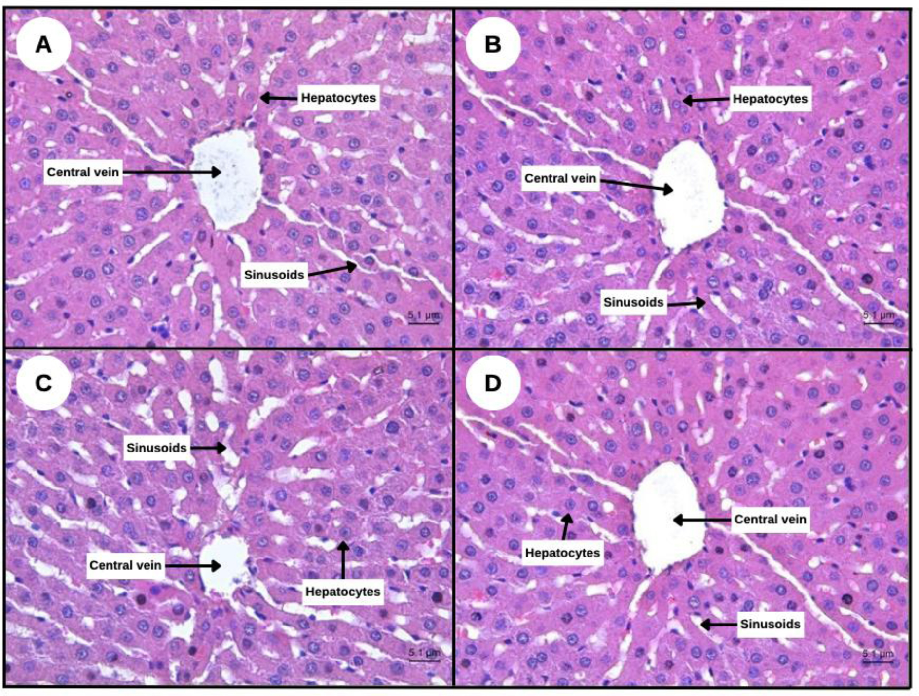
  • Stingless bee honey (SBH), widely consumed in Southeast Asia, is traditionally valued for its medicinal and nutritional properties, particularly in promoting brain health. However, its neuroprotective potential against Alzheimer's disease (AD) remains underexplored. In this study, we investigated the therapeutic effects and safety of SBH in a rat model of AD. A total of sixty-three adult male Sprague-Dawley rats (180–200 g) were used: Fifteen were assigned to three toxicity groups (500, 750, 1000 mg/kg; n = 5) and forty-eight to six therapeutic groups (n = 8): Normal control, AD (AlCl₃ + D-gal), AD + Donepezil (1.5 mg/kg), and three SBH-treated groups (500, 750, 1000 mg/kg). Alzheimer-like pathology was induced by aluminium chloride (150 mg/kg) and D-galactose (300 mg/kg), followed by 14 days of treatment. Toxicity was evaluated through liver and kidney histopathology, while behavioural performance was assessed using the Open Field Test and Morris Water Maze. Serum dopamine, serotonin, corticosterone, and acetylcholinesterase activity were quantified via ELISA, and hippocampal morphology was examined histologically. SBH administration produced no signs of systemic toxicity and significantly improved exploratory activity and spatial learning, with the most pronounced effects at 750 mg/kg. Biochemical assays showed reduced acetylcholinesterase and corticosterone levels alongside increased dopamine and serotonin concentrations. Histological analysis confirmed neuronal preservation and reduced hippocampal damage. Inclusion of Donepezil as a positive control enabled comparison with a standard pharmacological treatment. These findings demonstrated that SBH is a safe and promising natural therapeutic capable of alleviating cognitive deficits associated with AD.

    Citation: Shah Rezlan Shajahan, Zaw Myo Hein, Hussin Muhammad, Mohd Zulkifli Mustafa, Yatinesh Kumari, Imrana Jazuli, Azlina Zulkapli, Norshafarina Shari, Che Mohd Nasril Che Mohd Nassir, Muhammad Danial Che Ramli. Stingless bee honey alleviates cognitive deficits and hippocampal neurodegeneration in an Alzheimer's model: Behavioural, neurochemical, and histological analyses[J]. AIMS Neuroscience, 2026, 13(1): 1-28. doi: 10.3934/Neuroscience.2026001

    Related Papers:

  • Stingless bee honey (SBH), widely consumed in Southeast Asia, is traditionally valued for its medicinal and nutritional properties, particularly in promoting brain health. However, its neuroprotective potential against Alzheimer's disease (AD) remains underexplored. In this study, we investigated the therapeutic effects and safety of SBH in a rat model of AD. A total of sixty-three adult male Sprague-Dawley rats (180–200 g) were used: Fifteen were assigned to three toxicity groups (500, 750, 1000 mg/kg; n = 5) and forty-eight to six therapeutic groups (n = 8): Normal control, AD (AlCl₃ + D-gal), AD + Donepezil (1.5 mg/kg), and three SBH-treated groups (500, 750, 1000 mg/kg). Alzheimer-like pathology was induced by aluminium chloride (150 mg/kg) and D-galactose (300 mg/kg), followed by 14 days of treatment. Toxicity was evaluated through liver and kidney histopathology, while behavioural performance was assessed using the Open Field Test and Morris Water Maze. Serum dopamine, serotonin, corticosterone, and acetylcholinesterase activity were quantified via ELISA, and hippocampal morphology was examined histologically. SBH administration produced no signs of systemic toxicity and significantly improved exploratory activity and spatial learning, with the most pronounced effects at 750 mg/kg. Biochemical assays showed reduced acetylcholinesterase and corticosterone levels alongside increased dopamine and serotonin concentrations. Histological analysis confirmed neuronal preservation and reduced hippocampal damage. Inclusion of Donepezil as a positive control enabled comparison with a standard pharmacological treatment. These findings demonstrated that SBH is a safe and promising natural therapeutic capable of alleviating cognitive deficits associated with AD.



    加载中

    Acknowledgments



    The authors would like to thank the Management and Science University (MSU) for providing the instruments and facilities necessary for conducting this research. The authors also express their gratitude to Ajman University, UAE, for the support for the article processing charge (APC). Finally, we appreciate all the authors for their contributions and approval of the final manuscript.

    Funding



    The authors are grateful for the research grant provided by Management and Science University. Grant ID: SG–020–022023–FHLS

    Authors' contributions



    Conceptualization: Shah Rezlan Shajahan, Zaw Myo Hein, Muhammad Danial Che Ramli; Investigation: Shah Rezlan Shajahan; Methodology: Shah Rezlan Shajahan, Yatinesh Kumari, Imrana Jazuli; Resources: Hussin Muhammad, Azlina Zulkapli, Mohd Zulkifli Mustafa; Formal analysis: Shah Rezlan Shajahan, Zaw Myo Hein; Software: Shah Rezlan Shajahan, Yatinesh Kumari, Imrana Jazuli; Supervision: Muhammad Danial Che Ramli, Norshafarina Shari, Zaw Myo Hein, Che Mohd Nasril Che Mohd Nassir; Writing-original draft: Shah Rezlan Shajahan; Writing-review & editing: Shah Rezlan Shajahan, Zaw Myo Hein, Muhammad Danial Che Ramli. All authors approved the final version for publication.

    Conflict of interest



    The authors declare that they have no known competing financial interests or personal relationships that could have appeared to influence the work reported in this paper.

    [1] Kanunnikova NP, Moiseenok AG (2025) Nitrosative/oxidative stress, mitochondrial dysfunction, and redox balance in the mechanisms of neurodegenerative pathology and aging. Adv Neurol 2025: 025100021. https://doi.org/10.36922/AN025100021
    [2] Bhatt V, Tiwari AK (2024) Drosophila Sirtuin 1 plays a neuroprotective role in altering Alzheimer's disease-related pathologies in flies. Adv Neurol 3: 4291. https://doi.org/10.36922/an.4291
    [3] Lane CA, Hardy J, Schott JM (2018) Alzheimer's disease. Eur J Neurol 25: 59-70. https://doi.org/10.1111/ene.13439
    [4] D'Haese PF, Ranjan M, Song A, et al. (2020) β-Amyloid Plaque Reduction in the Hippocampus After Focused Ultrasound-Induced Blood–Brain Barrier Opening in Alzheimer's Disease. Front Hum Neurosci 14: 593672. https://doi.org/10.3389/fnhum.2020.593672
    [5] Alzheimer's Diseases InternationalDementia statistics. [cited 2025 December 16]. Available from: https://www.alzint.org/about/dementia-facts-figures/dementia-statistics/
    [6] Cummings J (2021) New approaches to symptomatic treatments for Alzheimer's disease. Mol Neurodegener 16: 2. https://doi.org/10.1186/s13024-021-00424-9
    [7] Bendjedid S, Djelloul R, Tadjine A, et al. (2020) In vitro assessment of total bioactive contents, antioxidant, anti-Alzheimer and antidiabetic activities of leaves extracts and fractions of Aloe vera. J Nat Sci 19: 469-485. https://doi.org/10.12982/CMUJNS.2020.0031
    [8] Zulkifli NA, Hassan Z, Mustafa MZ, et al. (2023) The potential neuroprotective effects of stingless bee honey. Front Aging Neurosci 14: 1048028. https://doi.org/10.3389/fnagi.2022.1048028
    [9] Lane RM, Kivipelto M, Greig NH (2004) Acetylcholinesterase and its inhibition in Alzheimer disease. Clin Neuropharmacol 27: 141-149. https://doi.org/10.1097/00002826-200405000-00011
    [10] Majtan J, Klaudiny J, Bohova J, et al. (2012) Methylglyoxal-induced modifications of significant honeybee proteinous components in manuka honey: Possible therapeutic implications. Fitoterapia 83: 671-677. https://doi.org/10.1016/j.fitote.2012.02.002
    [11] Shajahan SR, Muhammad H, Mustafa MZ, et al. (2025) Role of Stingless Bee Honey in Ameliorating Cognitive Dysfunction in an Aluminium Chloride and D-Galactose Induced Alzheimer's Disease Model in Rats. Nat ural and Life Sci ences Communication 24: e20250. https://doi.org/10.12982/NLSC.2025.053
    [12] Ahmed S, Sulaiman SA, Baig AA, et al. (2018) Honey as a Potential Natural Antioxidant Medicine: An Insight into Its Molecular Mechanisms of Action. Oxid Med Cell Longev 2018: 8367846. https://doi.org/10.1155/2018/8367846
    [13] Birks JS, Harvey RJ (2018) Donepezil for dementia due to Alzheimer's disease. Cochrane Database Syst Rev 6: CD001190. https://doi.org/10.1002/14651858.CD001190.pub3
    [14] Tsuno N (2009) Donepezil in the treatment of patients with Alzheimer's disease. Expert Rev Neurother 9: 591-598. https://doi.org/10.1586/ern.09.23
    [15] Shaikh A, Ahmad F, Teoh SL, et al. (2024) Unveiling the Therapeutic Potential of Kelulut (Stingless Bee) Honey in Alzheimer's Disease: Findings from a Rat Model Study. Antioxidants 13: 926. https://doi.org/10.3390/antiox13080926
    [16] Patcharapong Pantiya, Chanisa Thonusin, Benjamin Ongnok, et al. (2023) Chronic D-galactose administration induces natural aging characteristics, in rat's brain and heart. Toxicology 492: 153553. https://doi.org/10.1016/j.tox.2023.153553
    [17] Algarzae NK, Saleem U, Chauhdary Z, et al. (2025) Rosa moschata leaf extract ameliorates Alzheimer's disease in AlCl3 + D-galactose induced Alzheimer's rat model via modulation of neuroinflammatory biomarkers and suppression of ox. Ital J Food Sci 37: 1. https://doi.org/10.15586/ijfs.v37i4.3123
    [18] Liaquat L, Ahmad S, Sadir S, et al. (2017) Development of AD like symptoms following co-administration of AlCl3 and D-gal in rats: A neurochemical, biochemical and behavioural study. Pak J Pharm Sci 30: 647-653.
    [19] (2022) Organisation for Economic Co-operation and DevelopmentTest No. 425: Acute Oral Toxicity: Up-and-Down Procedure. OECD Guidelines for the Testing of Chemicals . Section 4, OECD Publishing. https://doi.org/10.1787/9789264071049-en
    [20] Sewell F, Ragan I, Horgan G, et al. (2024) New supporting data to guide the use of evident toxicity in acute oral toxicity studies (OECD TG 420). Regul Toxicol Pharmacol 146: 105517. https://doi.org/10.1016/j.yrtph.2023.105517
    [21] Shaheran AA, Suhaimi NAA, Ahmad WANW, et al. (2025) Antidepressant and neuroprotective potential of stingless bee honey in a preclinical stress model. J Funct Foods 130: 106913. https://doi.org/10.1016/j.jff.2025.106913
    [22] Slaoui M, Fiette L (2011) Histopathology Procedures: From Tissue Sampling to Histopathological Evaluation. Methods Mol Biol 691: 69-82. https://doi.org/10.1007/978-1-60761-849-2_4
    [23] Gurina TS, Simms L (2025) Histology, Staining. StatPearls . Treasure Island (FL): StatPearls Publishing.
    [24] Tian H, Ding N, Guo M, et al. (2019) Analysis of Learning and Memory Ability in an Alzheimer's Disease Mouse Model using the Morris Water Maze. J Vis Exp 2019: e60055. https://doi.org/10.3791/60055-v
    [25] Sánchez CQ, Schmitt FW, Curdt N, et al. (2023) Search Strategy Analysis of 5xFAD Alzheimer Mice in the Morris Water Maze Reveals Sex- and Age-Specific Spatial Navigation Deficits. Biomedicines 11: 599. https://doi.org/10.3390/biomedicines11020599
    [26] Shi X, Bai H, Wang J, et al. (2021) Behavioral assessment of sensory, motor, emotion, and cognition in rodent models of intracerebral hemorrhage. Front Neurol 12: 667511. https://doi.org/10.3389/fneur.2021.667511
    [27] Topuz RD, Gunduz O, Tastekin E, et al. (2020) Effects of hippocampal histone acetylation and HDAC inhibition on spatial learning and memory in the Morris water maze in rats. Fundam Clin Pharmacol 34: 222-228. https://doi.org/10.1111/fcp.12512
    [28] Scearce-Levie K (2011) Monitoring Spatial Learning and Memory in Alzheimer's Disease Mouse Models Using the Morris Water Maze. Methods Mol Biol 670: 191-205. https://doi.org/10.1007/978-1-60761-744-0_14
    [29] Morris R (1984) Developments of a water-maze procedure for studying spatial learning in the rat. J Neurosci Methods 11: 47-60. https://doi.org/10.1016/0165-0270(84)90007-4
    [30] Alhajj M, Zubair M, Farhana A (2024) Enzyme Linked Immunosorbent Assay. StatPearls [Internet] . Treasure Island (FL): StatPearls Publishing.
    [31] Rodrigues AF, Biasibetti H, Zanotto BS, et al. (2017) D-Galactose Causes Motor Coordination Impairment, and Histological and Biochemical Changes in the Cerebellum of Rats. Mol Neurobiol 54: 4127-4137. https://doi.org/10.1007/s12035-016-9981-4
    [32] Chen ZR, Huang JB, Yang SL, et al. (2022) Role of Cholinergic Signaling in Alzheimer's Disease. Molecules 27: 1816. https://doi.org/10.3390/molecules27061816
    [33] Esmaeili Y, Yarjanli Z, Pakniya F, et al. (2022) Targeting autophagy, oxidative stress, and ER stress for neurodegenerative disease treatment. J Control Release 345: 147-175. https://doi.org/10.1016/j.jconrel.2022.03.001
    [34] Shajahan SR, Kumar S, Ramli MDC (2024) Unravelling the connection between COVID-19 and Alzheimer's disease: a comprehensive review. Front Aging Neurosci 15: 1274452. https://doi.org/10.3389/fnagi.2023.1274452
    [35] Haider S, Liaquat L, Ahmad S, et al. (2020) Naringenin protects AlCl3/D-galactose induced neurotoxicity in rat model of AD via attenuation of acetylcholinesterase levels and inhibition of oxidative stress. PLoS One 15: e0227631. https://doi.org/10.1371/journal.pone.0227631
    [36] Chiroma SM, Baharuldin MTH, Mat Taib CN, et al. (2019) Centella asiatica Protects d-Galactose/AlCl3 Mediated Alzheimer's Disease-Like Rats via PP2A/GSK-3β Signaling Pathway in Their Hippocampus. Int J Mol Sci 20: 1871. https://doi.org/10.3390/ijms20081871
    [37] de la Monte SM, Tong M (2024) Dysregulated mTOR networks in experimental sporadic Alzheimer's disease. Front Cell Neurosci 18: 1432359. https://doi.org/10.3389/fncel.2024.1432359
    [38] Gadge AS, Shirsat DV, Soumia PS, et al. (2024) Physiochemical, biological, and therapeutic uses of stingless bee honey. Front Sustain Food Syst 7: 1324385. https://doi.org/10.3389/fsufs.2023.1324385
    [39] Luo L, Yan T, Yang L, et al. (2024) Aluminum chloride and D-galactose induced a zebrafish model of Alzheimer's disease with cognitive deficits and aging. Comput Struct Biotechnol J 23: 2230-2239. https://doi.org/10.1016/j.csbj.2024.05.036
    [40] Bustamante-Barrientos FA, Luque-Campos N, Araya MJ, et al. (2023) Mitochondrial dysfunction in neurodegenerative disorders: Potential therapeutic application of mitochondrial transfer to central nervous system-residing cells. J Transl Med 21: 613. https://doi.org/10.1186/s12967-023-04493-w
    [41] Pentkowski NS, Rogge-Obando KK, Donaldson TN, et al. (2021) Anxiety and Alzheimer's disease: Behavioral analysis and neural basis in rodent models of Alzheimer's-related neuropathology. Neurosci Biobehav Rev 127: 647-658. https://doi.org/10.1016/j.neubiorev.2021.05.005
    [42] Walczak-Nowicka ŁJ, Herbet M (2021) Acetylcholinesterase Inhibitors in the Treatment of Neurodegenerative Diseases and the Role of Acetylcholinesterase in their Pathogenesis. Int J Mol Sci 22: 9290. https://doi.org/10.3390/ijms22179290
    [43] de la Torre JC (2021) Deciphering Alzheimer's Disease Pathogenic Pathway: Role of Chronic Brain Hypoperfusion on p-Tau and mTOR. J Alzheimers Dis 79: 1381-1396. https://doi.org/10.3233/JAD-201165
    [44] Hendrickson RC, Raskind MA, Millard SP, et al. (2018) Evidence for altered brain reactivity to norepinephrine in Veterans with a history of traumatic stress. Neurobiol Stress 8: 103-111. https://doi.org/10.1016/j.ynstr.2018.03.001
    [45] Ekici Ö, Aslan E, Aladağ T, et al. (2022) Masseter muscle and gingival tissue inflammatory response following treatment with high-fructose corn syrup in rats: Anti-inflammatory and antioxidant effects of kefir. J Food Biochem 46: e13732. https://doi.org/10.1111/jfbc.13732
    [46] Hampel H, Mesulam MM, Cuello AC, et al. (2018) The cholinergic system in the pathophysiology and treatment of Alzheimer's disease. Brain 141: 1917-1933. https://doi.org/10.1093/brain/awy132
    [47] Shah H, Dehghani F, Ramezan M, et al. (2023) Revisiting the Role of Vitamins and Minerals in Alzheimer's Disease. Antioxidants (Basel) 12: 415. https://doi.org/10.3390/antiox12020415
    [48] Trillo L, Das D, Hsieh W, et al. (2013) Ascending monoaminergic systems alterations in Alzheimer's disease. Translating basic science into clinical care. Neurosci Biobehav Rev 37: 1363-1379. https://doi.org/10.1016/j.neubiorev.2013.05.008
    [49] Abidin İ, Keser H, Şahin E, et al. (2024) Effects of housing conditions on stress, depressive like behavior and sensory-motor performances of C57BL/6 mice. Lab Anim Res 40: 6. https://doi.org/10.1186/s42826-024-00193-8
    [50] Kisby B, Jarrell JT, Agar ME, et al. (2019) Alzheimer's Disease and Its Potential Alternative Therapeutics. J Alzheimers Dis Parkinsonism 9: 477. https://doi.org/10.4172/2161-0460.1000477
    [51] Olajide OJ, Gbadamosi IT, Yawson EO, et al. (2021) Hippocampal Degeneration and Behavioral Impairment During Alzheimer-Like Pathogenesis Involves Glutamate Excitotoxicity. J Mol Neurosci 71: 1205-1220. https://doi.org/10.1007/s12031-020-01747-w
    [52] Zhu J, Mu X, Zeng J, et al. (2014) Ginsenoside Rg1 Prevents Cognitive Impairment and Hippocampus Senescence in a Rat Model of D-Galactose-Induced Aging. PLoS One 9: e101291. https://doi.org/10.1371/journal.pone.0101291
    [53] Jodynis-liebert J, Kujawska M (2020) Biphasic dose-response induced by phytochemicals: Experimental evidence. J Clin Med 9: 718. https://doi.org/10.3390/jcm9030718
    [54] Fonseca SSS, Natacha NM, Aguiar GPS, et al. (2025) Brosimine B and the biphasic dose-response: insights into hormesis and retinal neuroprotection. Front Pharmacol 16: 1558726. https://doi.org/10.3389/fphar.2025.1558726
    [55] Shamsudin S, Selamat J, Abdul Shomad M, et al. (2022) Antioxidant Properties and Characterization of Heterotrigona itama Honey from Various Botanical Origins according to Their Polyphenol Compounds. J Food Qual 2022: 2893401. https://doi.org/10.1155/2022/2893401
    [56] Ismail CMKH, Khong NMH, Ahmad A, et al. (2023) LC-MS/MS-QTOF dataset of compounds detected in kelulut honey of the stingless bees, Heterotrigona itama and Tetrigona binghami from Kuantan, Pahang, Malaysia. Data Brief 49: 109409. https://doi.org/10.1016/j.dib.2023.109409
    [57] Suleiman JB, Mohamed M, Abu Bakar AB, et al. (2021) Chemical profile, antioxidant properties and antimicrobial activities of malaysian heterotrigona itama bee bread. Molecules 26: 4943. https://doi.org/10.3390/molecules26164943
    [58] Zahir F, Alhewairini SS, Mahamood M (2020) The Gut–Brain Axis, Cognition and Honey. Therapeutic Applications of Honey and its Phytochemicals . Singapore: Springer. https://doi.org/10.1007/978-981-15-6799-5_17
    [59] Shaikh A, Ahmad F, Teoh SL, et al. (2023) Honey and Alzheimer's Disease—Current Understanding and Future Prospects. Antioxidants 12: 427. https://doi.org/10.3390/antiox12020427
    [60] Agrawal M, Singhal M, Mir KB, et al. (2025) Neuroprotective potential of synephrine against aluminium chloride (AlCl3) induced cognitive impairment & neuronal damage in rats. Pharmacol Res-Mod Chin Med 2025: 100680. https://doi.org/10.1016/j.prmcm.2025.100680
    [61] Avgerinos KI, Manolopoulos A, Ferrucci L, et al. (2024) Critical assessment of anti-amyloid-β monoclonal antibodies effects in Alzheimer's disease: a systematic review and meta-analysis highlighting target engagement and clinical meaningfulness. Sci Rep 14: 25741. https://doi.org/10.1038/s41598-024-75204-8
    [62] Sasmita AO, Ong EC, Nazarenko T, et al. (2025) Parental origin of transgene modulates amyloid-β plaque burden in the 5xFAD mouse model of Alzheimer's disease. Neuron 113: 838-846.e4. https://doi.org/10.1016/j.neuron.2024.12.025
  • Reader Comments
  • © 2026 the Author(s), licensee AIMS Press. This is an open access article distributed under the terms of the Creative Commons Attribution License (http://creativecommons.org/licenses/by/4.0)
通讯作者: 陈斌, bchen63@163.com
  • 1. 

    沈阳化工大学材料科学与工程学院 沈阳 110142

  1. 本站搜索
  2. 百度学术搜索
  3. 万方数据库搜索
  4. CNKI搜索

Metrics

Article views(1849) PDF downloads(90) Cited by(1)

Article outline

Figures and Tables

Figures(9)  /  Tables(2)

/

DownLoad:  Full-Size Img  PowerPoint
Return
Return

Catalog