Research article Topical Sections

Molecular mechanisms of enhanced apoptosis in hepatocellular carcinoma via cantharidin-loaded liposomes

  • # These four authors contributed equally to this work.
  • Published: 03 March 2026
  • Objective 

    Hepatocellular carcinoma (HCC) remains a molecularly complex malignancy with limited therapeutic options. Cantharidin (CTD), a natural terpenoid, exhibits potent antitumor activity but suffers from poor bioavailability and dose-limiting toxicity. This study aimed to develop CTD-loaded liposomes (CTD-Lips) and investigate their molecular mechanisms in enhancing apoptosis and cell cycle regulation in HCC.

    Methods 

    CTD-Lips were prepared using an optimized thin-film method and thoroughly characterized for size, encapsulation efficiency, and drug release profile. Cellular uptake was evaluated using coumarin-6-loaded nanoparticles in HepG2 cells. Cytotoxicity was assessed by CCK-8 assay, while apoptosis and cell cycle distribution were analyzed via flow cytometry. In vivo antitumor efficacy and systemic safety were evaluated in HepG2-xenografted nude mice compared to cisplatin, with comprehensive histopathological and biochemical analyses.

    Results 

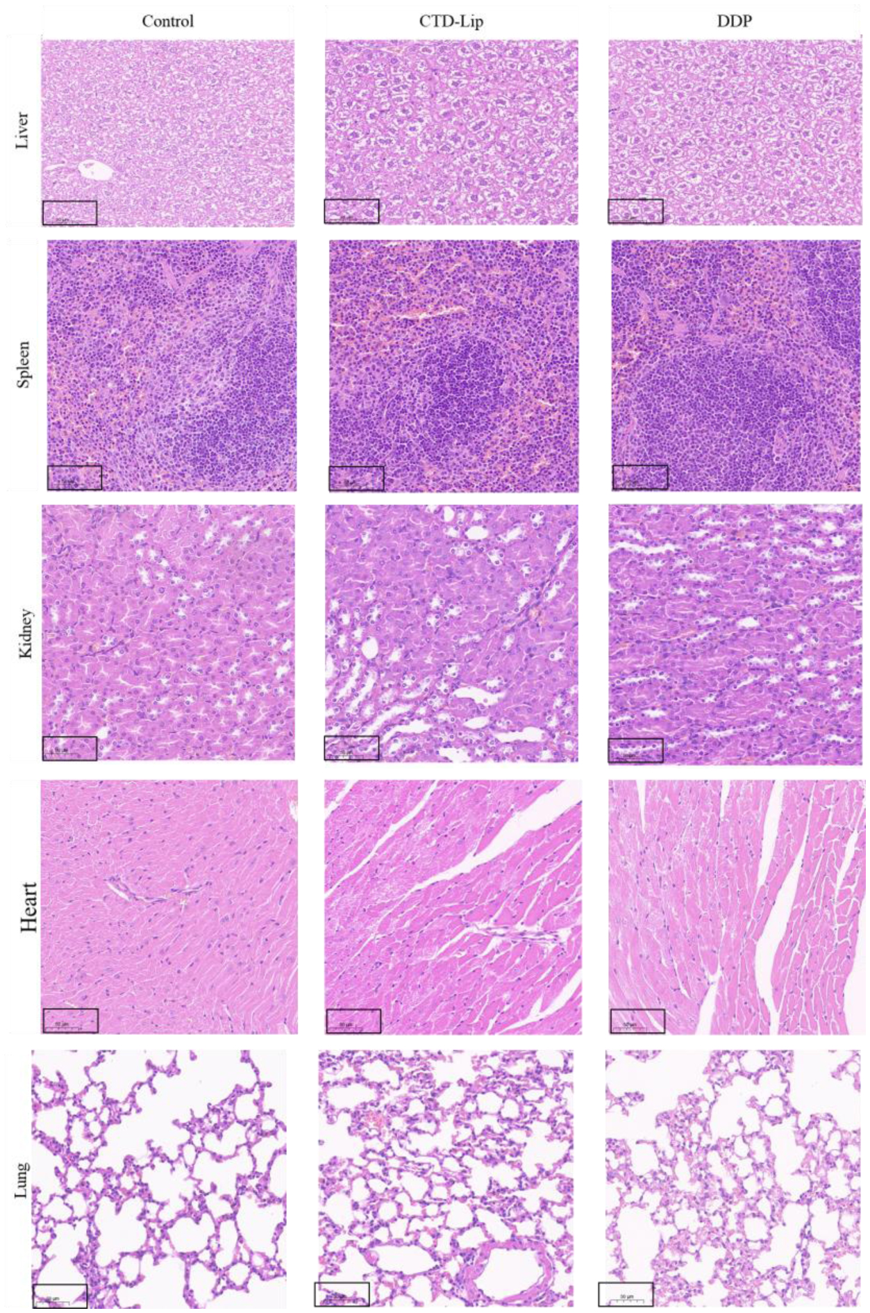
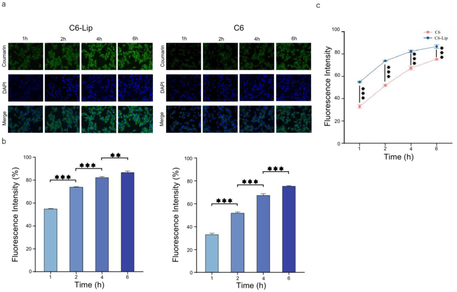
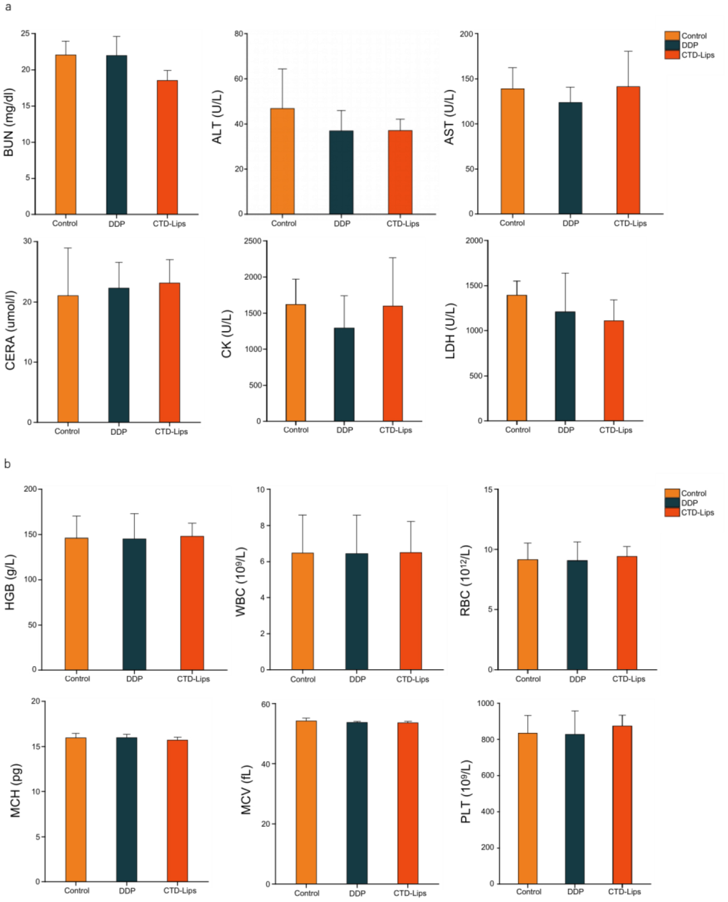
    Optimized CTD-Lips showed nanoscale characteristics (120.80 nm) with high encapsulation efficiency (96.20%) and sustained release. Cellular uptake was significantly enhanced, leading to superior cytotoxicity (IC₅₀: 1.415 µg/mL vs. 4.971 µg/mL for free CTD) and induced S-phase cell cycle arrest. Molecular analysis revealed that CTD-Lips promoted apoptosis through enhanced DNA damage response. In vivo, CTD-Lips achieved 62.4% tumor growth inhibition, outperforming cisplatin, while maintaining systemic safety with no significant hematological or biochemical alterations.

    Conclusions 

    CTD-Lips represent a molecularly targeted nanoplatform that enhances CTD's antitumor efficacy through regulation of cell cycle progression and apoptosis pathways. This study provides molecular-level insights into CTD-Lip-mediated anticancer mechanisms, supporting its potential as a novel molecular-targeted therapy for HCC.

    Citation: Ruihua Duan, Jiao Dong, Mingjie Chen, Caixia Huang, Shenglong Gan, Runcong Liu, Ronghuan Yang, Hao Li, Zhoulei Li, Yisheng Lin. Molecular mechanisms of enhanced apoptosis in hepatocellular carcinoma via cantharidin-loaded liposomes[J]. AIMS Molecular Science, 2026, 13(1): 80-96. doi: 10.3934/molsci.2026005

    Related Papers:

  • Objective 

    Hepatocellular carcinoma (HCC) remains a molecularly complex malignancy with limited therapeutic options. Cantharidin (CTD), a natural terpenoid, exhibits potent antitumor activity but suffers from poor bioavailability and dose-limiting toxicity. This study aimed to develop CTD-loaded liposomes (CTD-Lips) and investigate their molecular mechanisms in enhancing apoptosis and cell cycle regulation in HCC.

    Methods 

    CTD-Lips were prepared using an optimized thin-film method and thoroughly characterized for size, encapsulation efficiency, and drug release profile. Cellular uptake was evaluated using coumarin-6-loaded nanoparticles in HepG2 cells. Cytotoxicity was assessed by CCK-8 assay, while apoptosis and cell cycle distribution were analyzed via flow cytometry. In vivo antitumor efficacy and systemic safety were evaluated in HepG2-xenografted nude mice compared to cisplatin, with comprehensive histopathological and biochemical analyses.

    Results 

    Optimized CTD-Lips showed nanoscale characteristics (120.80 nm) with high encapsulation efficiency (96.20%) and sustained release. Cellular uptake was significantly enhanced, leading to superior cytotoxicity (IC₅₀: 1.415 µg/mL vs. 4.971 µg/mL for free CTD) and induced S-phase cell cycle arrest. Molecular analysis revealed that CTD-Lips promoted apoptosis through enhanced DNA damage response. In vivo, CTD-Lips achieved 62.4% tumor growth inhibition, outperforming cisplatin, while maintaining systemic safety with no significant hematological or biochemical alterations.

    Conclusions 

    CTD-Lips represent a molecularly targeted nanoplatform that enhances CTD's antitumor efficacy through regulation of cell cycle progression and apoptosis pathways. This study provides molecular-level insights into CTD-Lip-mediated anticancer mechanisms, supporting its potential as a novel molecular-targeted therapy for HCC.



    加载中

    Acknowledgments



    This research was funded by The Natural Science Foundation of Guangdong Province, China (2019A1515012118, 2023A1515010388, 2025A1515012376) and Scientific research capacity improvement project of key construction disciplines in Guangdong Province, China (2024ZDJS129) and Huizhou Science and Technology Project, China (2022CZ010414).

    Conflict of interest



    The authors declare no conflicts of interest in this paper.

    [1] Benson AB, D'Angelica MI, Abbott DE, et al. (2021) Hepatobiliary cancers, version 2.2021, NCCN clinical practice guidelines in oncology. J Natl Compr Canc Netw 19: 541-565. https://doi.org/10.6004/jnccn.2021.0022
    [2] Pan MS, Cao J, Fan YZ (2020) Insight into norcantharidin, a small-molecule synthetic compound with potential multi-target anticancer activities. Chin Med 15: 55. https://doi.org/10.1186/s13020-020-00338-6
    [3] Zheng LH, Bao YL, Wu Y, et al. (2008) Cantharidin reverses multidrug resistance of human hepatoma HepG2/ADM cells via down-regulation of P-glycoprotein expression. Cancer Lett 272: 102-109. https://doi.org/10.1016/j.canlet.2008.06.029
    [4] Su CC, Lee KI, Chen MK, et al. (2016) Cantharidin induced oral squamous cell carcinoma cell apoptosis via the JNK-regulated mitochondria and endoplasmic reticulum stress-related signaling pathways. PloS One 11: e0168095. https://doi.org/10.1371/journal.pone.0168095
    [5] Xu MD, Liu L, Wu MY, et al. (2018) The combination of cantharidin and antiangiogenic therapeutics presents additive antitumor effects against pancreatic cancer. Oncogenesis 7: 94. https://doi.org/10.1038/s41389-018-0102-2
    [6] McCluskey A, Bowyer MC, Collins E, et al. (2000) Anhydride modified cantharidin analogues: Synthesis, inhibition of protein phosphatases 1 and 2A and anticancer activity. Bioorg Med Chem Lett 10: 1687-1690. https://doi.org/10.1016/s0960-894x(00)00323-1
    [7] Li HC, Xia ZH, Chen YF, et al. (2017) Cantharidin inhibits the growth of triple-negative breast cancer cells by suppressing autophagy and inducing apoptosis in vitro and in vivo. Cell Physiol Biochem 43: 1829-1840. https://doi.org/10.1159/000484069
    [8] Pan Y, Zheng Q, Ni W, et al. (2019) Breaking glucose transporter 1/pyruvate kinase M2 glycolytic loop is required for cantharidin inhibition of metastasis in highly metastatic breast cancer. Front Pharmacol 10: 590. https://doi.org/10.3389/fphar.2019.00590
    [9] Chen CC, Chueh FS, Peng SF, et al. (2019) Cantharidin decreased viable cell number in human osteosarcoma U-2 OS cells through G2/M phase arrest and induction of cell apoptosis. Biosci Biotechnol Biochem 83: 1912-1923. https://doi.org/10.1080/09168451.2019.1627182
    [10] Zhu M, Shi X, Gong Z, et al. (2020) Cantharidin treatment inhibits hepatocellular carcinoma development by regulating the JAK2/STAT3 and PI3K/Akt pathways in an EphB4-dependent manner. Pharma Res 158: 104868. https://doi.org/10.1016/j.phrs.2020.104868
    [11] Song M, Wang X, Luo Y, et al. (2020) Cantharidin suppresses gastric cancer cell migration/invasion by inhibiting the PI3K/Akt signaling pathway via CCAT1. Chem-Biol Interact 317: 108939. https://doi.org/10.1016/j.cbi.2020.108939
    [12] Feng IC, Hsieh MJ, Chen PN, et al. (2018) Cantharidic acid induces apoptosis through the p38 MAPK signaling pathway in human hepatocellular carcinoma. Environ Toxicol 33: 261-268. https://doi.org/10.1002/tox.22513
    [13] Zhou H, Xu J, Wang S, et al. (2018) Role of cantharidin in the activation of IKKα/IκBα/NF-κB pathway by inhibiting PP2A activity in cholangiocarcinoma cell lines. Mol Med Rep 17: 7672-7682. https://doi.org/10.3892/mmr.2018.8860
    [14] Wei C, Deng X, Gao S, et al. (2022) Cantharidin inhibits proliferation of liver cancer by inducing DNA damage via KDM4A-dependent histone H3K36 demethylation. Evid Based Complement Alternat Med 2022: 2197071. https://doi.org/10.1155/2022/2197071
    [15] Zou JJ, Zhang SQ, Feng RX (2002) The toxicity and pharmacokinetics of cantharidin. J China Pharm Univ 33: 393-396.
    [16] Zhong M, Xiao N, Li C, et al. (2025) Nanomedicine in cancer diagnosis and therapeutics. AIMS Mol Sci 12: 411-437. https://doi.org/10.3934/molsci.2025023
    [17] Zhang J, Peng Y, Hu S, et al. (2025) Therapeutic application of curcumin and its nanoformulation in dentistry: Opportunities and challenges. AIMS Mol Sci 12: 148-172. https://doi.org/10.3934/molsci.2025010
    [18] Soni PK, Saini TR (2021) Formulation design and optimization of cationic-charged liposomes of brimonidine tartrate for effective ocular drug delivery by design of experiment (DoE) approach. Drug Dev Ind Pharm 47: 1847-1866. https://doi.org/10.1080/03639045.2022.2070198
    [19] Qualls ML, Hagewood H, Lou J, et al. (2022) Bis-boronic acid liposomes for carbohydrate recognition and cellular delivery. Chembiochem 23: e202200402. https://doi.org/10.1002/cbic.202200402
    [20] Onica EC, Dumitru CS, Zara F, et al. (2025) Pentachroma O-H: A five-color histological staining method for enhanced intestinal tissue analysis. Int J Mol Sci 26: 10811. https://doi.org/10.3390/ijms262210811
    [21] Mantle P, Upadhyay R, Herman D, et al. (2025) Renal apoptosis in male rats induced by extensive dietary exposure to ochratoxins. Int J Mol Sci 26: 4553. https://doi.org/10.3390/ijms26104553
    [22] Patil K, Gujarathi N, Sharma C, et al. (2024) Quality-by-design-driven nanostructured lipid scaffold of apixaban: Optimization, characterization, and pharmacokinetic evaluation. Pharmaceutics 16: 910. https://doi.org/10.3390/pharmaceutics16070910
    [23] Zhang D, Xu X, Wei Y, et al. (2022) Prognostic role of DNA damage response genes mutations and their association with the sensitivity of olaparib in prostate cancer patients. Cancer control 29: 1-16. https://doi.org/10.1177/10732748221129451
    [24] Zhou J, Ren Y, Tan L, et al. (2020) Norcantharidin: Research advances in pharmaceutical activities and derivatives in recent years. Biomed Pharmacother 131: 110755. https://doi.org/10.1016/j.biopha.2020.110755
    [25] Yan J, Deng XL, Ma SQ, et al. (2023) Cantharidin suppresses hepatocellular carcinoma development by regulating EZH2/H3K27me3-dependent cell cycle progression and antitumour immune response. BMC Complement Med Ther 23: 160. https://doi.org/10.1186/s12906-023-03975-0
    [26] Xu Y, Wang M, Ning S, et al. (2022) Development of glycyrrhetinic acid and folate modified cantharidin loaded solid lipid nanoparticles for targeting hepatocellular carcinoma. Molecules 27: 6786. https://doi.org/10.3390/molecules27206786
    [27] Naz F, Wu Y, Zhang N, et al. (2020) Anticancer attributes of cantharidin: Involved molecular mechanisms and pathways. Molecules 25: 3279. https://doi.org/10.3390/molecules25143279
    [28] Dasari S, Tchounwou PB (2014) Cisplatin in cancer therapy: molecular mechanisms of action. Eur J Pharm 740: 364-378. https://doi.org/10.1016/j.ejphar.2014.07.025
    [29] Koch M, Krieger ML, Stölting D, et al. (2013) Overcoming chemotherapy resistance of ovarian cancer cells by liposomal cisplatin: molecular mechanisms unveiled by gene expression profiling. Biochem Pharm 85: 1077-1090. https://doi.org/10.1016/j.bcp.2013.01.028
    [30] Silver DP, Richardson AL, Eklund AC, et al. (2010) Efficacy of neoadjuvant Cisplatin in triple-negative breast cancer. J Clin Oncol 28: 1145-1153. https://doi.org/10.1200/jco.2009.22.4725
    [31] Zhang C, Nance EA, Mastorakos P, et al. (2017) Convection enhanced delivery of cisplatin-loaded brain penetrating nanoparticles cures malignant glioma in rats. J Control Release 263: 112-119. https://doi.org/10.1016/j.jconrel.2017.03.007
    [32] Basu A, Krishnamurthy S (2010) Cellular responses to cisplatin-induced DNA damage. J Nucleic Acids . https://doi.org/10.4061/2010/201367
    [33] Sato R, Moriguchi M, Saiga A, et al. (2024) No lipiodol, no beads-another transcatheter arterial chemoembolization (TACE) with fine cisplatin powder and porous gelatin particles for TACE-naïve, multifocal, up-to-seven out hepatocellular carcinoma. Cancer Med 13: e7446. https://doi.org/10.1002/cam4.7446
  • Reader Comments
  • © 2026 the Author(s), licensee AIMS Press. This is an open access article distributed under the terms of the Creative Commons Attribution License (http://creativecommons.org/licenses/by/4.0)
通讯作者: 陈斌, bchen63@163.com
  • 1. 

    沈阳化工大学材料科学与工程学院 沈阳 110142

  1. 本站搜索
  2. 百度学术搜索
  3. 万方数据库搜索
  4. CNKI搜索

Metrics

Article views(710) PDF downloads(25) Cited by(0)

Article outline

Figures and Tables

Figures(7)

/

DownLoad:  Full-Size Img  PowerPoint
Return
Return

Catalog